Animal Eye Care Center Loveland
See reviews photos directions phone numbers and more for Animal Eye Care locations in Loveland CO. All of our offered surgeries can be performed here at the Animal Eye Center in Loveland CO.

How To Survive Your Cat S First Heat Cycle Cat In Heat Cats Cat Parenting
215 W 67th Ct Loveland CO 80538.

Animal eye care center loveland. The Animal Eye Center was opened for business in 1998 in Fort Collins CO. Providing Quality Veterinary Eye Care at a Fair Cost. More At Animal Eye Center PC our goal is to provide the highest quality of medical and surgical care for your animals eye healthDr.
Its a great comfort to all of us who love. WELCOME to the ANIMAL EYE CARE CENTER LLC A Site for Sore Eyes Weve helped thousands of animals improve their eyesight for over twenty years. Animal hospitals offer general and emergency pet care services.
Some of these surgeries are also available at our via our mobile vet clinic. All of our offered surgeries can be performed here at the Animal Eye Center in Loveland CO. Burgesser became a board certified ophthalmologist in 2000 and practiced ophthalmology in New York from 2000-2017 before joining the Animal Eye Center team in September 2018.
Animal Eye Center can provide great information on Cherry Eye Cataract and other Dog Surgery Cost. Trevor Arnold are board certified by the American College of Veterinary Ophthalmologists. See reviews photos directions phone numbers and more for the best Veterinary Clinics Hospitals in Loveland CO.
See reviews photos directions phone numbers and more for Animal Eye Clinic locations in Loveland CO. Here we shared space with a few other veterinary specialists. Animal Eye Care Center is located at 215 W 67th Ct Loveland CO 80538.
Our goal is to maintain professional and courteous atmosphere with our clients at all times. Here are some answers to some of our most common questions about eye care for animals. To give your loved ones a better life.
Thank you for the impeccable care Liam has received all these years. Some of these surgeries are also available at our travel locations. Get Animal Eye Care Center reviews ratings business hours phone numbers and directions.
All of our offered animal eye care surgeries can be performed here at the Animal Eye Center in Loveland CO. Book an appointment and read reviews on Animal Eye Center PC 215 West 67th Court Loveland Colorado with TopVet. Here at the Animal Eye Center we strive to provide the highest quality of medical and surgical eye care for your pet.
If you have any questions that are not answered here please contact us. All of our offered surgeries can be performed here at the Animal Eye Center in Loveland CO. To learn more or to make an appointment with Animal Eye Center in Loveland CO please call 970 461-0909 for more information.
Some of these surgeries are also available at our travel locations. The Animal Eye Center was opened for business in 1998 in Fort Collins CO. Animal Eye Care Center can be contacted at 970 461-0909.
The Animal Eye Center is a Colorado corporation dedicated to the diagnosis and treatment of eye diseases in animals. Animal Eye Care Center PC in Loveland CO - Larimer County is a business listed in the categories Physicians Surgeons Optometrists Offices Of Optometrists Offices And Clinics Of Optometrists and Eye Care. Steven Roberts and Dr.
After you do business with Animal Eye Care Center PC please leave a review to help other people and improve hubbiz. After realizing that there. Learn more about any of the surgeries we offer and current availability.
Animal Eye Center some of the best Dog Ophthalmologist providing the best Vet Services for Veterinary Ophthalmology around. Some animal hospitals offer 24 hour emergency services-call to confirm hours and availability. Care for your pet and call today.
We care for the eye health of companion animals dogs cats large animals horses llamas etc exotic animals zoo reptiles and pocket. Being a Loveland CO veterinary provider specializing in animal eye care we at the Animal Eye Center get a lot of frequently asked questions by our clients. We also enjoy educating not only our clients but also veterinarians about the further care of the animals and their vision needs.
He remained in academics for the next two years serving as a clinical instructor in veterinary ophthalmology at the Ontario Veterinary College University of Guelph. Please call with any questions or to get more information about any.

Do Boston Terriers Have Tails Breed Standards Tail Facts Boston Terrier Boston Terrier Puppy Boston Terrier Dog

Wolf Sight Of Eyes Close Up Stock Photo Colourbox Eye Close Up Wolf Eyes Blue Eyed Dog

If In Doubt Wear Massive Sunglasses Jobs4ecp S Canada S Eyecare Jobsite Www Jobs4ecps Ca Vision Quotes Animal Jokes Sunglasses Quotes

Max Was Born With Severe Scoliosis It Was Suggested That He Be Euthanized At Birth His Breeder Just Couldn T Take Hi Animal Rescue Animals Animal Rescue Site

Senior Pet Care Veterinarian In Loveland Co Boyd Lake Veterinary Center

Developer Madwire Animal Eye Center

Developer Madwire Animal Eye Center

15 Parrot Eyes Really Close Up Parrots Art Parrot Wild Eyes

Pin On Cat Facts And Care Tips

Developer Madwire Animal Eye Center

In Ground Trampoline In Ground Trampoline Trampoline Backyard Trampoline

Top Performance Proeye Tear Stain Remover Professional Grade Solution For Removing Tear Stains Around Pets Eyes 4 Tear Stains Stain Remover Dog Hair Dye

Cute Pet Pictures Wet Noses Pet Sitting Animal Pictures Cute Animals Cat Sitter

Developer Madwire Animal Eye Center

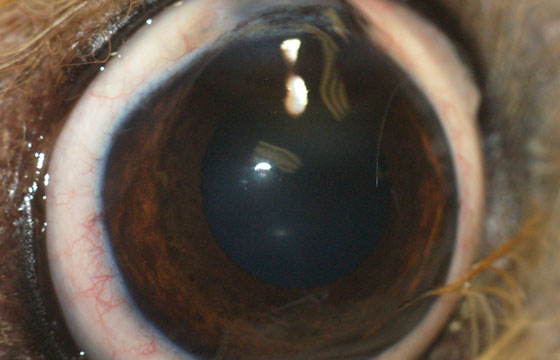
Animal Eye Center Loveland Loveland Eye Center Veterinary Medicine

Developer Madwire Animal Eye Center

Developer Madwire Animal Eye Center

Cohen S Fashion Optical On Instagram They Re Kind Of The Same Thing Adulting Moneycantbuyhappiness Itskindofthesamet Fashion Eyewear Womens Mens Eyewear

Posting Komentar untuk "Animal Eye Care Center Loveland"